Implant-Supported Fixed Bridge: Restore a Complete Smile, Say Goodbye to the Troubles of Multiple Missing Teeth
Posted: December 03 , 2025
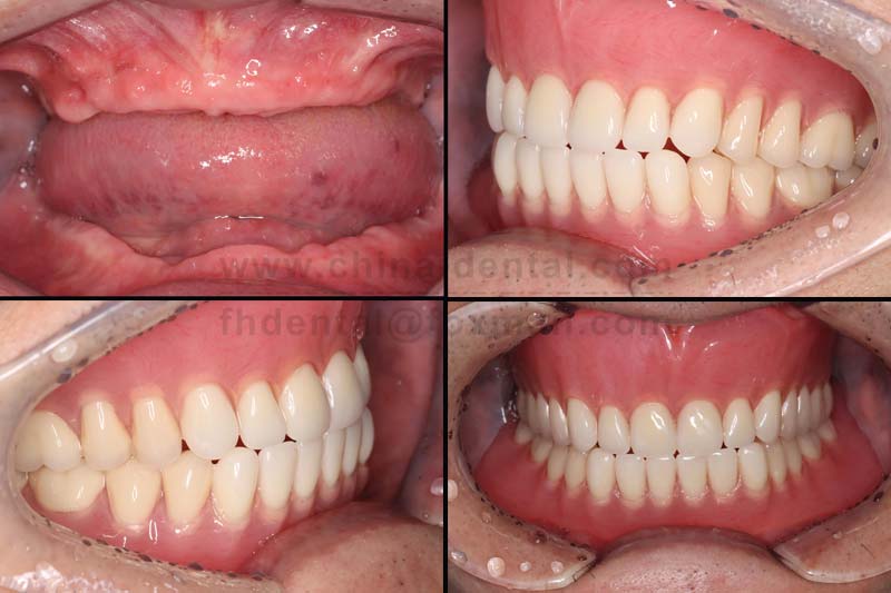
Tooth loss, especially the consecutive loss of multiple teeth, not only affects aesthetics but also compromises chewing function and may lead to long-term oral health imbalances. For such issues, the implant-supported fixed bridge(Cemented Bridge) technique offers a stable and efficient restorative solution.
An implant-supported fixed bridge(Cemented Bridge) involves placing a small number of dental implants in the edentulous area as supports, onto which a dental bridge is connected, thereby restoring the function and morphology of multiple missing teeth. Compared to traditional removable dentures, it offers superior retention, higher comfort, and eliminates the feeling of a foreign object. Relative to multiple single implants, it is more cost-effective and efficient while reducing surgical trauma. Its core advantage lies in its precise mechanical design, which distributes biting forces and protects adjacent teeth and overall oral health.
The technique utilizes materials with excellent biocompatibility to ensure long-term durability. The restored dental crowns are designed in shape and color with reference to natural teeth, achieving a unity of aesthetics and function. The entire treatment process is precisely planned by professional clinicians, striving for safety and controllability from implantation to crown placement.
If you are currently troubled by multiple missing teeth, an implant-supported fixed bridge(Cemented Bridge) is a reliable option worth considering. It can significantly enhance quality of life and represents a robust investment in long-term oral health.
The implant-supported fixed bridge(Cemented Bridge) stands as an advanced and reliable solution for restoring multiple missing teeth, effectively blending functionality, aesthetics, and oral health preservation. For high-precision treatment planning and exceptional craftsmanship in dental restorations, consider partnering with experts in China dental design, leveraging the efficiency of China dental outsourcing, and utilizing the technical expertise of a China dental lab.




















