Dear Dentist, Are you facing these challenges? Increasingly demanding aesthetic expectationsfrom patients High remake rat...
Posted July 17 , 2025
Are you still troubled by that back tooth with its repeated fillings and unnatural color? Coffee stains seep into the edg...
Posted July 16 , 2025
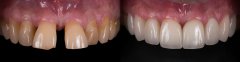
Did you smile today? A simple question, yet one that brings a touch of reluctance to many who hold back their grins due t...
Posted July 14 , 2025
The Hidden Risks of Dental Injuries in Sports A fierce collision on the basketball court, an accidental impact during a s...
Posted July 11 , 2025
When tooth decay erodes precious tooth structure, especially with large cavities, a simple filling may only be a temporar...
Posted July 10 , 2025
Ever hidden your smile in photos due to chipped or discolored teeth? Or hesitated while enjoying food because of weak tee...
Posted July 09 , 2025
What is the first thing you do when the first ray of sunlight shines into the room in the morning? Thats right, brush you...
Posted July 08 , 2025
When taking group photos, my colleague Sister Li always subconsciously pressed her lips togethera habit shes had for ten ...
Posted July 05 , 2025