A very significant feature of resin tooth filling in clinical practice is that after multiple fillings, the loss of teeth...
Posted June 09 , 2025
In the passionate and challenging world of sports, we pursue the perfect combination of speed, strength, and skill, but o...
Posted June 06 , 2025
After finishing the ultra-thin porcelain veneer, the teeth instantly shine white like new, but to maintain this beauty, p...
Posted June 05 , 2025
Sports are the blooming of lifes vitality and a journey of self-challenge. However, during sports, potential dangers cons...
Posted June 04 , 2025
On the passionate sports fields, every struggle is filled with excitement and challenges. However, have you overlooked th...
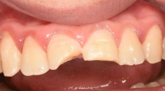
Posted June 02 , 2025
It is not uncommon for teeth to be broken due to knocks and bumps during daily cycling, playing ball, or accidental falls...
Posted May 30 , 2025
Have you ever experienced the troubles of wearing traditional dentures? The heavy metal base seems like a burden in your ...
Posted May 29 , 2025
Have you ever been troubled by the following situation: going for tooth fillings again and again, but the tooth cavity ke...
Posted May 28 , 2025