Broken teeth can be rescued quickly with porcelain veneers!
Posted: May 30 , 2025
It is not uncommon for teeth to be broken due to knocks and bumps during daily cycling, playing ball, or accidental falls during outdoor activities. A broken tooth is always terrifying, but if first aid is done properly, the broken tooth can still be saved.For a freshly broken tooth: Keep the broken tooth well, rinse it briefly, and place it in a moist environment in time, such as mineral water, milk, normal saline, etc. If the above conditions are not available, it can also be held in the mouth. Do not wrap it with a tissue to avoid damage to the broken tooth due to drying; Secondly, you should go to the hospital as soon as possible. The success rate of treatment within 30 minutes after the broken tooth is high.
Of course, due to limited conditions, very few can be saved. After most people's teeth are broken, they can only seek other remedies. For example:
1、If a small part of the dental crown is broken and defective, the broken surface (sharp edge) can be polished.
2、If the broken part of the dental crown is deep and the dentin is exposed, dental restoration treatment can be done.
3、If the broken part of the dental crown is very deep and the pulp is exposed. There are two treatment methods. One is that young permanent teeth can have vital pulp amputation to facilitate the continued development of the tooth root; the second is that for those with completed root development, the pulp should be extracted and the tooth should be replanted.
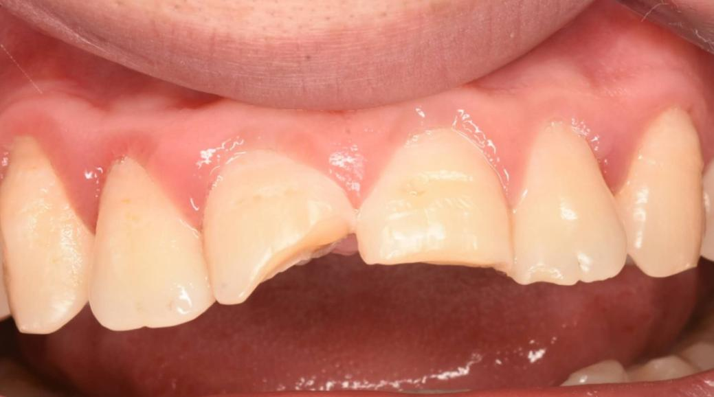
Many people don't know. In fact, when a tooth is broken, ultra-thin porcelain veneers or micro-veneers can be selected for restoration depending on the severity of the situation. As long as the pulp is not damaged, the broken surface can be slightly polished and then veneer restoration can be performed. Such as the teeth like the following:


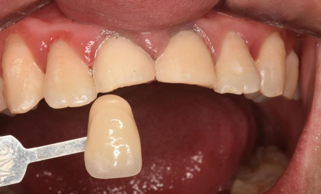
Since only the veneers of the two front teeth need to be made and there is no need to change the color, it is sufficient to compare with the abutment color.


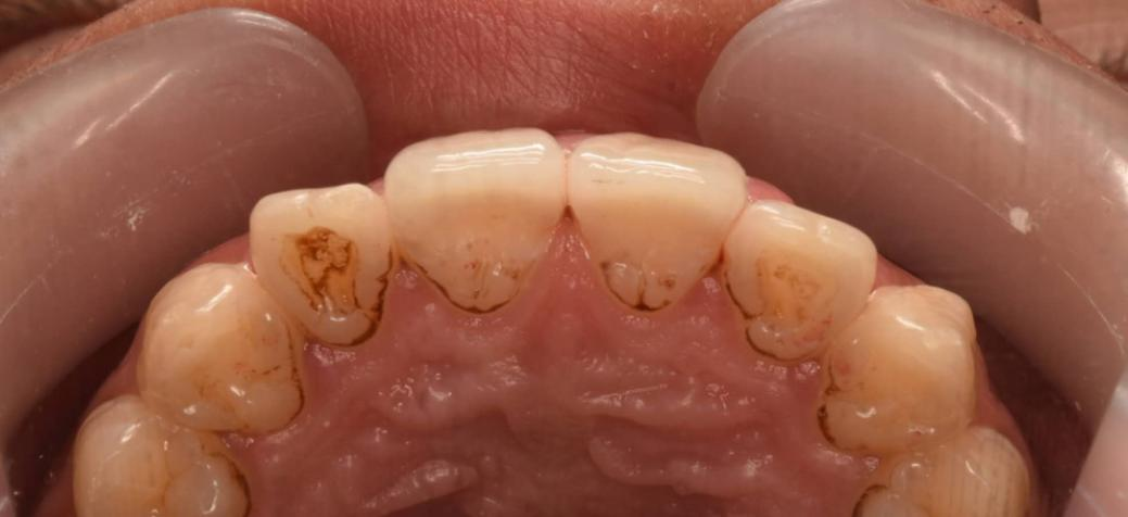
After the porcelain veneer bonding is completed, it can be seen that it is very perfect from all angles.
The use of porcelain veneers to repair tooth defects is a very good method. It can be customized according to the specific conditions of the patient's teeth and fit the tooth surface perfectly. Porcelain veneers have excellent aesthetics, with realistic and natural colors, which can effectively improve the appearance of the teeth. At the same time, its material is strong and durable and can maintain a good repair effect for a long time.


China Dental Lab’s Dental Veneer,the thickness can be as ultrathin as 0.2mm. The minimally invasive treatment can even restore teeth without grinding them. The thin and transparent porcelain veneers are natural and realistic. When pasted on the enamel, they are more firm and durable, not easy to fall off, and the aesthetic effect is comparable to that of natural teeth. They are particularly suitable for repairing poor tooth shapes, defects, teeth whitening, closing tooth gaps, and restoring small teeth and other conditions.

















